祛眼袋, 你必了解的不可或缺细节
文/杜太超
你的目光呆滞,与人交往中看上去一脸倦怠。职场上的你,社交上的你,好像你很不自信了。其实,是你不知不觉潜滋暗长眼袋了。
一:一目了然
1 开始出现的年龄
一般分遗传性和后天继发性两种,遗传性眼袋在年纪比较小的时候就出现,通常以眼袋外凸为主要表现,皮肤紧凑而富有弹性。后天继发性眼袋多在30岁以后出现并随年纪增加而逐渐加重,通常伴有眼袋区域的皮肤松弛和局部细小皱纹。

(眼袋手术前,眼袋手术后2年对比)
2 表现形式
遗传性眼袋主要表现为眼袋区域突起,皮肤紧凑,弹性良好,没有皱纹。后天继发性眼袋主要表现为皮肤松弛,眼袋区域不平整,皮肤细小皱纹或很深的皱纹,眼袋与鼻梁之间有比较明显的沟槽。
3 对面容和神态的影响
眼袋的出现在一定程度上显示出倦怠的面容,目光无神,局部的老化将人的面容提前推到衰老的边缘,与人交往时有逃避对方目光的潜在趋势,给人不自信的感觉。
4 对心理的影响
喜欢照镜子,寻找自身不足的心理被眼袋的存在而放大,缺乏自信,人际交往中逃避别人的目光。
二:美丽有方
1 如何矫正
去掉引起眼袋区域突出的脂肪团块,将松弛多余的皮肤去掉,减轻眼袋区域的皮肤皱纹,恢复局部的外观。
2 可采用的手术选择
通过结膜内入路(所谓“不开刀“手术)手术和外切口眼袋手术进行有效的矫正。
3 改善后的变化
眼袋区域平整,皮肤松弛减轻或消失,皱纹减轻,眼神的活力再现。

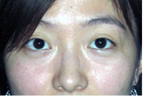
(眼袋手术前)

(眼袋手术后7天)
4 手术过程时间
经结膜内入路手术通常需要20-30分钟,经皮肤外切口手术需要40分钟左右。
5 麻醉方式
局部麻醉。
6 手术禁忌
患有高血压,青光眼,糖尿病等的人不能接受手术,长期服用阿司匹林等水杨酸类药物的人手术前要停药至少15天。
7 手术后的护理
手术后保持伤口清洁干燥,第二天后即可将伤口暴露,可用消毒药棉每天搽伤口。眼睛干痒时可用红霉素或氯霉素眼药水滴眼。第四天后可用热毛巾热敷促进水肿消散。
8 手术后反应
术后眼袋区域肿胀比较明显,部分人会出现皮下淤血或青紫,少部分人还会出现球结膜充血或水肿,第四天后局部肿胀开始吸收,在手术后10天左右局部肿胀不明显。
9 拆线时间
手术后5天拆线。
10 疤痕恢复时间
拆线后刀口痕迹比较明显,3-4天后痕迹会逐渐淡化,在手术后15天左右刀口会逐渐明显,呈浅红色细线状,在2个月后逐渐淡化至完全消失或很浅的痕迹。
11 形态完全恢复时间
一般需要3-4个月眼袋改善的形态完全成形,疤痕完全消失或很浅淡。
12 可能出现的不良情况
一般可能出现球结膜充血,水肿,早期睑球分离(下眼皮和眼球不能贴合在一起,眼泪容易流出,眼球怕风吹),皮下淤血,青紫等。
13 维持时间
每个人的衰老进度不同,眼袋手术后维持的时间会因人而异,一般维持5年以上。
14 可否再次手术
若眼袋再次出现,如果身体健康情况允许可以再次手术。
三相关问题解答
(一)眼袋手术后眼台怎么没有了?
Q:杜主任你好,我在当地做眼袋外切手术时皮肤和肌肉去多了,现在眼台看起来没有了,很丑(就是下眼睑睫毛下缘那个俗话所说的“卧蚕”,笑起来看更明显,让人看起来很妩媚),至今眼睛没有大好转,我当时想年头多,皮松了修复眼台能加厚一些,想一次到位,我这个想法对吗?眼台需修几次?
A:如果出现眼袋手术后的因为皮肤去多了而出现睑缘退缩,露白太多,可以通过手术进行修复,在一定程度可以缓解。眼台也可以通过手术得到一定程度的缓解,不可能完全恢复到以前的状态。

(眼袋手术前)

(眼袋手术后2年)
(二)我在当地做完眼袋手术,下眼球露白太多是什么原因?
Q:做完眼袋一个月,眼睑和眼球不能很好的贴附,迎风流泪,眼睑也不太平整。请问是什么原因呢?这种症状还能恢复好吗?需要多久呢?
A:你这样的情况在眼袋手术早期都会不同程度地存在,在2个月到3个月以后都会很大程度地缓解,不要着急好了。
(三)我做完不开刀的去眼袋手术,怎么感觉眼台耷拉了,怎么办?
Q:杜大夫:您好,我想咨询我内路去眼袋后,为什么感觉眼台耷拉了,我咨询过好象内路去眼袋动不到眼台。自体脂肪只能解决凹的问题,用什么办法解决眼台的问题呢?自体脂肪能注射到眶隔内吗,如果注射到眶隔内是不是可解决眼台问题呢,谢谢您?
A:脂肪注射不能解决眼台的问题,眼台的解决需要将肌肉进行重叠缝合在原来眼台的位置,有一定程度的恢复,不能完全恢复,各部分肌肉的厚度不同,改善程度也不一样。

(眼袋手术前)

(内路眼袋手术后3年)
(四)从里面和从外面做眼袋有什么区别吗?
Q:杜医生你好,我想问一下眼袋手术的内路法和外路法哪个技术含量高些?做完内路术眼睛下面的皮肤比原来松驰,有很多皱褶还能恢复吗?如果不能恢复可怎么办啊?您有什么好办法吗?
A:不管内路还是外路做眼袋手术,都要求医生有丰富的经验和精细的操作,无法比较技术含量高低。如果你比较年轻,眼袋区域皮肤弹性好没有松弛,可以考虑做内路手术,如果眼袋区域皮肤松弛,只能做外路手术。
(五)我眼袋手术后感觉有些异样是什么原因?
Q:我做完眼袋手术已经半年了,眼睛里一直会噙着少许泪水,总想用力挤眼睛,很不舒服。看着眼睛总是泪汪汪的,个人感觉是眼睑和眼球不太吻合造成的,我想问一下到底是什么原因,如何解决呢?
A:与手术后恢复的时间还比较短暂有关,眼睑和眼球不能完全贴附在一起的时候,负责泪液引流的泪小点(在睑缘内侧)不能贴附眼球而形成负压将泪液引流到鼻咽部所致,再过几个月这样的情况会逐渐好转很多的,你不必太着急,可以做点眼部的按摩,以加快局部组织的软化和贴附。
(六)眼袋术后的恢复情况是怎样的过程?
Q:我做完眼袋手术已经近两周了,但眼睑下方刀口痕迹仍很明显,同时左眼下方眼袋仍很明显(半圆型,不知是否是其它人提到过的泪沟,以前没有),右眼眼袋的确不明显了,但眼外角下方的颧骨显得比以前高了,远看象鼓了一个大包,我想咨询一下,上述状况是否会随着时间的推移有所改善呢?如能改善,大约还需多长时间呢?
A:你现在的情况都是在恢复期里的暂时情况,不是最后的真实情况,不要着急,3个月以后会好很多的。耐心等待吧。
(七)眼袋手术和去皮肤存在怎样的关系?
Q:现在有一种精细去眼袋法,请问杜大夫,和外路、内路法有区别吗,是否会去除多余的皮肤,会反弹吗?
A:外路法主要是解决皮肤松弛的问题,同时解决脂肪脱出的问题。内路法只能解决脂肪脱出的问题,不能解决皮肤松弛的问题。不管用哪种方法,脂肪去除后不会反弹,但皮肤的松弛和多余会随着年龄的增加而出现和加重。
(八)眼袋手术什么时候做最好?
Q:咨询了很多眼袋手术的问题,特想做,就是担心,45岁,皮肤弹性还行,眼袋不是特明显,现在做的效果好不好,是否肯定有改善,并且不会外翻。 心情忐忑不安。
A:眼袋的情况出现了让你有了想解决的想法,越早做效果越好,维持的时间也就越长。因为这时的皮肤弹性对抗重力的能力肯定比以后要好很多的。改善是肯定的,不会外翻。你可以放心的。

(眼袋手术前)

(外路眼袋手术后8年)
(九)眼袋手术时可以提升皮肤吗?
Q:杜大夫,请问您外切眼袋法是否可以达到一点点提升皮肤的作用呢?因为要切掉一些皮肤,我对着镜子比划感觉能有提升的作用,您做过的手术案例中有没有术后感觉鼻唇沟上边的皮肤上升的呢?谢谢!
A:你的想法我很明白,就是想在做眼袋手术的时候能够将眼睑下面的组织向上提升。不能单纯通过眼袋手术进行解决,但可以通过眼袋手术的切口,在深层次进行处理引起鼻唇沟下垂的组织,比单纯的眼袋手术要复杂。如果你的脸型比较瘦的话,这样的手术方法比较有效,脸胖的话效果就差些。这是两个手术。
【杜太超】著名美容外科专家。副主任医师,第三军医大学整形外科硕士。北京黄寺美容外科医院知名专家,中国医药卫生事业发展基金会“人民好医生专家团整形专家”。擅长面部年轻化除皱、双眼皮、隆鼻等各类整形美容手术。系“面部年轻化CAW系统“的手术研发人,和“中国好鼻子”东方美学隆鼻理念和手术方式开创者。《中华医学美学美容》杂志编辑部主任。获2015年全国最大整形社区数百万网友评选的新氧APP”亚太鼻部整形名医奖“ 。出版《美丽有约:一位美容外科医生的手记》轰动业界。中央电视台以《找回青春不是梦》专题报道其事迹。更多分享交流请添加关注杜太超医生私人微信号: 美遇北京 【杜太超】: ( dutaichao008)。

